Pseudopseudotumor cerebri – a case of doxycycline-induced intracranial hypertension
doi: 10.55342/szemhungarica.2025.162.3.150
Case report
Summary
In our report we discuss the case of our 23-year-old female patient, who presented at our clinic complaining of an intermittently appearing stagnant blur in the visual field of her left eye. Her examination revealed bilateral papilloedema with a distinct left predominance. Urgent neurological examination and, per the neurologist’s recommendation, cranial imaging (computed tomography – CT) were performed, which did not reveal any intracranial space-occupying lesions. The patient had been severely obese for several years by the time of presentation (BMI: 38.9) and took 200 mg of the antibiotic doxycycline daily for a 10-day period 7 days before she first noticed the described visual disturbance. The subsequent onset of complaints suggested drug-induced intracranial hypertension. She received 2×500 mg oral acetazolamide daily for 20 weeks, then 2×250 mg for a further 4 weeks – after initiation her visual complaints subsided within 1 week, her visual field monitored by standard automated perimetry normalised, and the level of papilloedema quantified by retinal imaging (optical coherence tomography – OCT) slowly and continually decreased and eventually completely ceased. Taking into account the patient’s age, sex, obesity and history, we can safely assume a predisposition for the development of intracranial hypertension with doxycycline as its trigger. To our knowledge, no other case of intracranial hypertension induced by tetracycline antibiotics has been described before in the Hungarian ophthalmic literature.
Összefoglaló
Közleményünkben 23 éves nőbetegünk esetét ismertetjük, aki bal szeme látóterében időszakosan észlelt mozdulatlan homály panaszával jelentkezett szakrendelésünkön. Vizsgálata során kétoldali, erős bal oldali túlsúlyú papillaödéma fennállását észleltük. Sürgős ideggyógyászati szakvizsgálat és neurológus javaslatára agyi képalkotó vizsgálat (computed tomography – CT) történt, amely intracranialis térfoglalás jelenlétét nem igazolta. A beteg ekkor több éve fennálló jelentős túlsúllyal élt (BMI: 38,9) és 7 nappal leírt látászavara első észlelése előtt 10 napon át napi 200 mg dózisban doxycyclin antibiotikumot szedett. Panaszai ezt követő jelentkezése gyógyszer okozta intracranialis hypertensio diagnózisát vetette fel. A beteg 20 héten át napi 2×500 mg, majd 4 héten át 2×250 mg oralis acetazolamid terápiában részesült, amelynek megkezdését követően látáspanasza 1 hét után megszűnt, standard automata perimetriával vizsgált látótere normalizálódott, a papillaödéma mértékében pedig szemfenéki képalkotó vizsgálattal (optical coherence tomography – OCT) is számszerűsített, mindkét oldali, lassú, fokozatos csökkenés, majd az ödéma teljes megszűnése volt észlelhető. Betegünk korát, nemét, obes testalkatát és anamnézisét együttesen értékelve esetünkben az intracranialis hypertensio kialakulásának fokozott hajlama és a doxycyclin trigger szerepe tekinthető igazoltnak. Tudomásunk szerint a magyar szemészeti szakirodalomban tetracyclin antibiotikum által okozott intracranialis hypertensio esete korábban nem került leírásra.Keywords
intracranial hypertension, papilloedema, doxycycline
Kulcsszavak
intracranialis hypertensio, papillaödéma, doxycyclin
Bevezetés
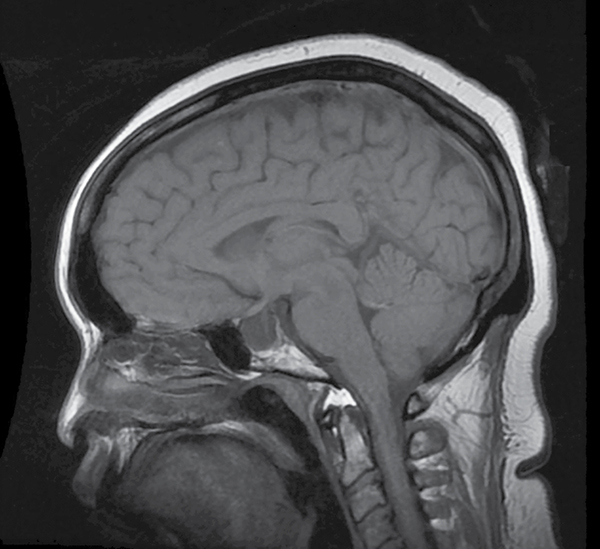
Az idiopathiás intracranialis hypertensio (IIH) – korábban elterjedt nevén benignus intracranialis hypertensio, vagy pseudotumor cerebri – a kétoldali papillaödéma eredetének kizárásos diagnózisa, amelyet a Thurtell áttekintő cikkében is jegyzett, módosított Dandy-kritériumok alapján akkor állapíthatunk meg, ha a beteg éber és kommunikációképes, az intracranialis hypertensio klinikai jeleit és tüneteit látjuk neurológiai gócjelek együttes fennállása nélkül (kivételt képez a VI. agyideg paresise), normál labordiagnosztikai paraméterek mellett és per definitionem megjelölhető eredet hiányában. A tünetek közül a legjellemzőbb a fejfájás (85%), tranziens látótérhomályok (70%) és pulzusszinkron tinnitus (50%), azonban számos esetben az állapot teljesen tünetmentes, klinikai jeleként a szemfenéken látható, jellemzően kétoldali papillaödéma rutin szemészeti szakvizsgálat során is észlelésre kerülhet. A papillaödéma együtt járhat csíkolt vérzések, gyapottépés gócok, exudatumok és papillomacularis subretinalis folyadék megjelenésével. Az intracranialis nyomás lumbálpunkció elvégzését követően manometrikusan mérhető – e beavatkozás a liquor lebocsátása révén terápiás hatású is lehet. Felnőttkorban 20 H2Ocm (15 Hgmm) feletti értéket tekinthetünk emelkedettnek. A nyomásfokozódás radiológiai jelei szubtilisek, ilyen a liquor által kitöltött ún. empty sella (1. ábra).

Forrás: https://radiopaedia.org/cases/empty-sella-1
Az IIH túlnyomórészt fertilis korú, túlsúlyos nőket érint, előfordulása a túlsúly mértékével egyenes arányban emelkedik – a 15 és 44 éves kor közötti obes nők körében leírt incidencia (22:100 000) többszöröse a teljes populációban (2,4:100 000), és különösen a férfiak körében (0,3:100 000) mérhető értéknek. Kockázati tényezőt jelent a testsúly gyors gyarapodása és obstruktív alvási apnoe fennállása. A kórkép patomechanizmusa máig tisztázatlan és vitatott (4).
A gyógyszer okozta intracranialis hypertensio (DIIH) megjelenésében nem különbözik az idiopathiás intracranialis hypertensio klinikai képétől, ekkor azonban az állapot kialakulása egyes gyógyszerek alkalmazásához kapcsolható. Tan és munkatársai 2019-ben megjelent irodalmi áttekintésükben foglalták össze az intracranialis hypertensio kialakulásához köthető szereket (3). A leggyakrabban az állapottal kapcsolatba hozható hatóanyagok a retinoidok, így az A-vitamin, isotretinoin és tretinoin, ezeket követik a tetracyclin antibiotikumok, így maga a tetracyclin, minocyclin és az esetünkben is érintett doxycyclin – a 2005-ben forgalomba került tigecyclin alkalmazásához kapcsolható eset nem ismert. Ezek mellett kiemelendők a pszichiátriában máig használt lítium, és a számos betegség kezelésében használatos kortikoszteroidok, amelyeknek hosszas alkalmazást követő megvonása is vezethet koponyaűri nyomásfokozódáshoz. A doxycyclin az említett munka összesítése alapján 15 igazolt esetben volt intracranialis hypertensio kialakulásához köthető – az érintettek többsége ezen esetekben is obes nő volt, és a szer elhagyása önmagában nem bizonyult elégségesnek az állapot orvoslására (2, 3). A koponyaűri nyomásfokozódás jellemzően a szer hosszas, több hónapon át tartó alkalmazása mellett jelentkezett, ugyanakkor leírásra került néhány napos szedést követően kialakult eset is (1, 3). A javasolható kezelés az okozó ágens elhagyásán túl megegyezik az idiopathiás intracranialis hypertensio kezelésével. Első vonalban a liquortermelést a karboanhidráz enzim gátlása révén csökkentő, emellett vízhajtó hatású karboanhidráz-inhibitorok alkalmazhatók – ezek közül a leggyakrabban használt hatóanyag az acetazolamid, amely viszonylag kedvező mellékhatásprofil mellett meglepően nagy dózisban, akár napi 2×2000 mg mennyiségben is biztonságosan adható. Intolerancia esetén alternatívát jelent az enyhébb karboanhidráz-inhibitor hatással bíró, ám a kórképre jellemző fejfájást hatékonyabban csökkentő és a fogyást is segítő topiramat. Obesitas fennállása esetén fontos cél a testsúlycsökkentés, illetve súlyos, tartós, terápiarezisztens papillaödéma vagy elviselhetetlen panaszok esetén felmerülhet sinus transversus stent, cerebrospinalis shunt vagy nervus opticus decompressio alkalmazása is. A kortikoszteroidok használata a korábbi gyakorlattal szemben, nem komplikált esetekben, kedvezőtlen mellékhatásaik és az elhagyásukat követően várható rebound effektus tükrében ma már ellenjavallt, súlyos esetekben művi beavatkozás elvégzése előtt, áthidaló kezelésként merül fel (4). Mindezek mellett természetesen kerülendő az egyéb intracranialis hypertensio kialakulásához köthető gyógyszerek használata (3).
Esetismertetés
23 éves nőbetegünk 2024 májusában, bal szeme látóterében időnként feltűnő mozdulatlan homály panaszával jelentkezett szakrendelésünkön. Saját, korábban készült szemüvegével (–5,00Dsph/–5,75Dsph) korrigált látóélessége mindkét szemén 1,0 volt, az elvégzett fundusvizsgálat során pedig erős bal oldali túlsúlyú, mindkét oldali papillaödéma került észlelésre. A megjelenés napján sürgős ideggyógyászati konzíliumot kértünk, amely gócjelet nem talált, az elvégzett koponya CT-vizsgálat pedig nem igazolt térfoglalást. Szintén ekkor készült általános laborvizsgálatából hyperuricaemia mellett egyéb érdemi eltérés nem volt kiemelhető. A felsoroltak ismeretében a vizsgáló neurológus lumbálpunkció elvégzését nem ítélte szükségesnek az intracranialis hypertensio fennállásának igazolására. A fenti sürgős vizsgálatokat követő részletesebb anamnézisfelvétel során a beteg kérdésünkre számolt be arról, hogy panasza első észlelése előtt 7 nappal fejezte be háziorvosa által felső légúti panaszaira felírt napi 200 mg doxycyclin 10 napon át tartó szedését. A gyógyszer okozta intracranialis hypertensio Tan és munkatársai által felvázolt kritériumai így gyakorlatilag teljesültek (3) (1. táblázat).

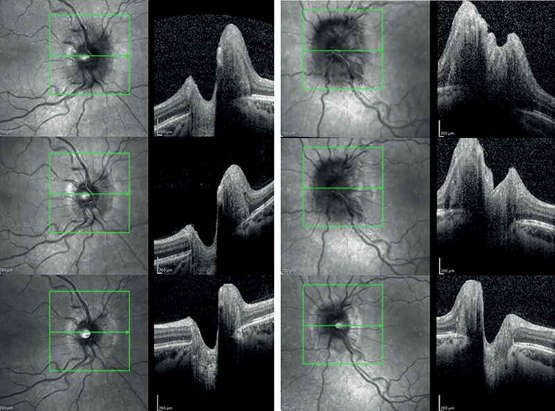
Az idiopathiás intracranialis hypertensio fent említett jelei és tünetei fennálltak, ezen felül pedig az emelkedett koponyaűri nyomás nem volt köthető egyéb korábban fennálló betegséghez (A), a tünetek röviddel az említett gyógyszer szedését követően jelentkeztek (B), a gyógyszer elhagyását és a kezelés megkezdését követően folyamatos, egyenletes javulást tapasztaltunk (C), és olyan gyógyszerrel volt dolgunk, amely számos dokumentált esetben volt intracranialis hypertensio kialakulásához köthető (E). Azon feltétel, miszerint az érintett gyógyszer ismételt adását a tünetek súlyosbodása követi (D), nem teljesült, mivel annak ismételt adására értelemszerűen nem került sor. Kezelésként káliumpótlás mellett napi 2×500 mg acetazolamid szedését és testsúlycsökkentést javasoltunk, a későbbiekben pedig a látóélesség, funduskép, látótér és OCT-kép ismételt vizsgálatával követtük az állapotot. A követés ideje alatt a panaszok gyors, 7 napon belüli megszűnését, majd a papillaödéma hónapokon át zajló, fokozatos mérséklődését tapasztaltuk (2. ábra).

A tünetek és jelek alakulásából arra is következtethetünk, hogy a panaszok megszűnését követően is tartósan fennálló, lassan mérséklődő ödéma a panaszok jelentkezését is több nappal megelőzően indulhatott fejlődésnek, a doxycyclin szedésének befejezését követő 5 féléletidőn (100 óra) belül. Szintén az ödéma az észlelt panaszokat hosszan megelőző kialakulására utal, hogy betegünk első jelentkezésekor a mindkét oldalon megfigyelhető jelentős (2D/3D) prominentia ellenére csak bal szeme látóterében észlelt homályról számolt be. Jelenleg a 24 héten át fenntartott oralis acetazolamid terápia teljes elhagyását követően a beteg tartósan panaszmentes, korrigált látóélessége továbbra is mindkét szemen 1,0, látótere normalizálódott, a papillaödéma pedig mindkét oldalon tartósan megszűnt. A hosszan fennálló ödéma utóhatásának tekinthető a retinalis idegrostréteg (RNFL) mindkét oldali, nasalis kvadránsokban, OCT-vizsgálattal mérhető elvékonyodása, és a korábban fennálló ödéma aszimmetriájának megfelelő, bal oldalon alacsonyabb mérési értékek (3. ábra). Betegünk jelenleg a látóidegrost-veszteség ismeretében neuroprotektív céllal topicalis brimonidin monoterápiában részesül – szemnyomása ezen kezelés mellett ismételt mérésekkel igazoltan normál tartományban van. Fontos adalék, hogy a beteg szigorú diéta követésével kezelése ideje alatt 14 kilogramm testsúlycsökkenést is elért, ami feltehetően jelentősen hozzájárult a papillaödéma egyenletes mérséklődéséhez és megszűnéséhez.

Következtetés
Írásunk fő üzenete, hogy az idiopathiás intracranialis hypertensio kizárásos diagnózis – a kiterjedt és részletes anamnézisfelvétel, szemészeti-, ideggyógyászati-, labor- és agyi képalkotó vizsgálat még a látszólag egyértelmű esetekben is elengedhetetlen, és a diagnosztikai folyamat során fel kell merülnie a gyógyszerindukált eredetnek is. Az intracranialis hypertensio kialakulását kiváltani képes számos hatóanyag (retinoidok, kortikoszteroidok, lítium) jellemzően hosszú időtartamon át használatos, így az ezek szedése mellett kialakuló koponyaűri nyomásfokozódás és papillaödéma észlelése esetén kóroki szerepük azonosítása és elhagyásuk mérlegelése kulcsfontosságú lehet a hatékony kezelés és a látás védelme érdekében. Mindezek mellett esetünk a felelős antibiotikumhasználat (antibiotic stewardship) fontosságát is illusztrálja. Az egyes antibiotikumok metabolizmusa számos súlyos mellékhatás fellépésének kockázatát hordozza, így rendkívül fontos azokat csak kellőképpen megalapozott indikációval, csak a szükséges dózisban és időtartamon át alkalmaznunk.
Nyilatkozat
A szerző kijelenti, hogy esetismertető közleménye megírásával kapcsolatban nem áll fenn vele szemben pénzügyi vagy egyéb lényeges összeütközés, összeférhetetlenségi ok, amely befolyásolhatja a közleményben bemutatott eredményeket, az azokból levont következtetéseket vagy azok értelmezését.
Irodalom
1. Campetti D, Kelly A, Diaz K. Doxycycline-induced idiopathic intracranial hypertension in a patient with Lyme disease. JAAPA 2021; 34(3): 35–37.
https://doi.org/10.1097/01.JAA.0000731504.17394.29
2. Friedman DI, Gordon LK, Egan RA, Jacobson DM, Pomeranz H, Harrison AR, Goldhammer Y. Doxycycline and intracranial hypertension. Neurology 2004; 62(12): 2297–2299.
https://doi.org/10.1212/wnl.62.12.2297
3. Tan MG, Worley B, Kim WB, Ten Hove M, Beecker J. Drug-Induced Intracranial Hypertension: A Systematic Review and Critical Assessment of Drug-Induced Causes. Am J Clin Dermatol 2020; 21(2): 163–172.
https://doi.org/10.1007/s40257-019-00485-z
4. Thurtell MJ. Idiopathic Intracranial Hypertension. Continuum (Minneap Minn) 2019; 25(5): 1289–1309.
https://doi.org/10.1212/CON.0000000000000770
